Obsah
Za hlavní problém v chovu králíků se považuje nadýmání králíků, protože v těchto případech zvířata umírají ve velkém množství. Ale nadýmání není nemoc. To je známka gastrointestinálních problémů. Nadýmání může být způsobeno neinfekční příčinou, jako je fermentace potravy v žaludku konkrétního zvířete, nebo to může být známka infekčního onemocnění, z nichž jednou je králičí eimerióza způsobená bakteriemi patřícími do řádu kokcidií .
Kokcidióza u králíků způsobuje 11 typů eimerie, z nichž jeden postihuje játra a způsobuje jaterní kokcidiózu. Nejběžnější formou onemocnění je vývoj střevní a jaterní kokcidiózy současně. Stejně jako jakékoli jiné kokcidie dostává eimeria u králíků příležitost ublížit, když zvířata oslabují imunitu. Oslabení imunity podporuje:
- přeplněný obsah;
- nehygienické podmínky u králíka;
- vysoká vlhkost;
- zvířata různého věku v jedné skupině;
- nekvalitní krmivo;
- přebytek bílkovin v krmivu;
- nevyvážená strava;
- přítomnost krmiva pro zvířata ve stravě;
- další faktory, které snižují odolnost těla vůči chorobám.
U teplomilných králíků mohou být takovými faktory také zimní mrazy a králíci v boxech se mohou nakazit kokcidiemi z potkanů nebo z jejich vlastních výkalů, protože nikdo nikdy nečistí otvory v boxech. Nejde ani tak o nedbalost majitelů, je to jen o tom, že se do těchto děr nemůžete plazit.
Video, které jasně ukazuje, proč u králíků v domácnostech propukne eimerióza.
Isosporóza je ale onemocnění predátorských zvířat: psů a koček, i když je také způsobeno eimerií. Pouze ne ty eimérie, které parazitují na králících.
Vlastnosti životního cyklu a stanoviště eimerie
Aymeria, které způsobují kokcidiózu u králíků, jsou specifické pro tento druh zvířat, nemusíte se bát, že kokcidióza kuřat se rozšíří na králíky. Mohou se na ně „rozšířit“ pouze obecné nehygienické podmínky na nádvoří. Eimerianské oocysty preferují chladné počasí a vysokou vlhkost; v horku a po vysušení rychle umírají. Proto jsou v období jara-léta pozorována ohniska kokcidiózy u králíků, i když v menší míře může kokcidióza králíky procházet po celý rok.
Zdrojem infekce kokcidiózou jsou obnovená zvířata, která spolu s výkaly začala vylučovat oocysty do vnějšího prostředí, a králíci v laktaci. Kvůli nehygienickým podmínkám a vniknutí kontaminovaného trusu do vody a krmiva se kokcidióza přenáší na zvířata, která ještě nebyla nemocná.
Příznaky různých druhů kokcidiózy u králíků
Inkubační doba kokcidiózy je 4 - 12 dní. Průběh kokcidiózy může být akutní, subakutní a chronický. Existují tři typy onemocnění: střevní, jaterní a smíšené. Na farmách je nejčastěji pozorován smíšený druh kokcidiózy. Králíci jsou nejvíce náchylní na kokcidiózu až 5 měsíců.
Známky smíšené kokcidiózy. U smíšeného typu kokcidiózy u nemocných králíků je pozorována deprese. Zvířata raději leží na břiše, nemají zájem o jídlo. Rychlé vyčerpání, žloutnutí sliznic. Břicho je oteklé, králíci mají bolesti. Existuje průjem s hlenem a krví. Časté močení a hojný výtok z úst a nosu.Matná srst. Mohou se objevit křeče svalů zad, končetin a krku. Křeče se objevují před těsnou smrtí králíků při akutní a subakutní kokcidióze, která trvá 3 až 6 dnů. Trvání kokcidiózy v chronickém průběhu je až 4 měsíce. V tomto případě je patrné zpoždění růstu nemocných králíků od zdravých bratří.
Příznaky jaterní kokcidiózy u králíků... Toto onemocnění je způsobeno nejjednodušším parazitem Eimeria stiedae. U „čisté“ kokcidiózy jater je doba trvání onemocnění od 1 do 1,5 měsíce. Známky střevní formy kokcidiózy jsou špatně vyjádřeny. Náznakem poškození jater je žlutá barva sliznic charakteristická pro hepatitidu. Králíci rychle hubnou. Výsledkem je, že zvířata umírají vážně vyhublě.
Při pitvě jsou játra 5 až 7krát větší než obvykle. Na povrchu orgánu jsou viditelné bílé uzlíky o velikosti od zrna prosa po hrášek a bílé „nitě“, které jsou v jedné rovině s povrchem. Když je uzlík rozřezán, uvnitř se nachází krémová látka - nahromadění eimerie. Pojivová tkáň je zvětšená. Žlučovody jsou rozšířené a zesílené.
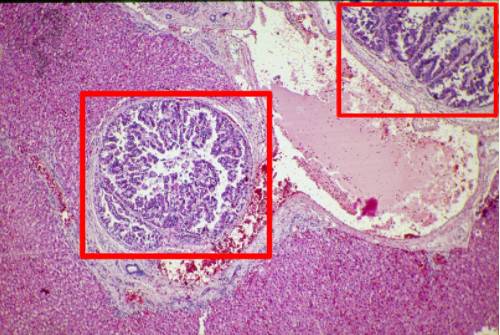
Na fotografii níže mikroskopické poškození způsobené parazitem.
Kokcidióza střeva... U králíků ve věku 3 až 8 týdnů je tento typ onemocnění akutní. Zvláště pokud králíci ulovili infekci v době přechodu na zelenou trávu. U králíka se průjem střídá se zácpou. Srst je matná, rozcuchaná. Břicho je zvětšené a ochablé. Může být pozorována tympanie.
U některých králíků s eimeriózou mohou nastat křeče, padající na stranu s hlavou odhodenou dozadu na záda, plovoucí pohyby tlapek. Pokud nepřijmete opatření k léčbě, králík zemře 10. - 15. den nemoci.
Při pitvě je střevní sliznice poseta bílými plaky podobnými těm v játrech. Sliznice je zanícená, červená. Střevní obsah je tekutý a obsahuje plynové bubliny.
Fotografie ukazuje, že ve střevech králíka nejsou normální potravní hmoty, ale kvasná kapalina, která uvolňuje plyn.
Diagnóza kokcidiózy
Při stanovení diagnózy se kokcidióza králíků odlišuje od listeriózy a pseudotuberkulózy. Při stanovení diagnózy se bere v úvahu stav farmy, odkud nemocný králík pochází, příznaky onemocnění, údaje o patologické anatomii a laboratorní studie výkalů nebo patologického materiálu.
Při posmrtném vyšetření pacient králíka s kokcidiózou odhalí:
- střevní hyperemie;
- uzliny v játrech;
- nadýmání střev;
- tekutý obsah gastrointestinálního traktu.
Po přesné diagnóze je předepsána léčba.
Jak léčit kokcidiózu u králíků
Bezprostředně po známkách onemocnění, bez čekání na diagnózu, jsou zvířata umístěna do světlých, suchých, dobře větraných místností. Chovají se v klecích pouze se síťovanou podlahou, aby se minimalizoval kontakt králíků s výkaly. Existují pouze vysoce kvalitní zdroje.
Po přesné diagnóze zvolí veterinární lékař léčebný režim. Léčba kokcidiózy u králíků, stejně jako u jiných zvířat, se provádí pomocí kokcidiostatik a antibakteriálních léků. Používají se také antibiotika.
Přípravy kokcidiózy pro králíky v každé oblasti se mohou lišit, proto bude nutné vytvořit léčebný režim v závislosti na dostupnosti léčiva v nejbližší veterinární lékárně.
Několik režimů léčby kokcidiózy u králíků:
- Do vody se přidá ftalazol 0,1 g / kg, norsulfazol 0,4 g / kg v koncentraci 0,5%;
- Sulfapyridazin 100 mg, současně mnomycin 25 tisíc jednotek / kg, chemokcid 30 mg / kg ve dvojitých 5denních cyklech s intervalem 3 dny;
- Trichopolum dvakrát denně, 20 mg / kg v krmivu po dobu 6 dnů.V případě potřeby kurz opakujte po 3 dnech;
- Salinomycin 3-4 mg / kg;
- Ditrim 1 ml / l vody po dobu 5 dnů;
- Biofuzol nebo nifulin 5 g / kg krmiva 7 dní;
- Sulfadimethoxin 200 mg / kg první den a 100 mg / kg další 4 dny;
- Furazolidon 30 mg / kg 2krát denně po dobu 10 dnů.
Někteří chovatelé králíků se pokusili použít levomiticin a tvrdili, že se mu podařilo králíky vyléčit. Zde je ale nutné vzít v úvahu, že diagnózu stanovil „okem“ sám chovatel a není jisté, že jeho zvířata měla právě kokcidiózu.
„Domácí“ vakcína je současné užívání kokcidiostatik a zajištění kontaktu králíků s trusem Eimeria infikovaným oocystami. Je zřejmé, že zde nebude možné přesně vypočítat dávku oocyst eimeria a taková „vakcinace“ je ve skutečnosti „ruská ruleta“.
Na pozadí nemožnosti očkování zvířat proti eimerióze se stává velmi důležitá prevence kokcidiózy u králíků.
Jak předcházet kokcidióze a co obsahuje
Především je prevencí nemocí u králíků přísné dodržování pravidel veterinární a hygienické hygieny. Místnost králičí farmy, klece, vybavení by měla být pravidelně smažena plamencem.
Aymeriy mohla oprávněně říci, že je nemůžete vzít holýma rukama, a dokonce ani hořákem. Je ale docela možné zredukovat počet oocyst eimeria na buněčné mřížce.
Mytí dezinfekčními prostředky v případě oocyst eimeria není příliš účinné. Výkaly jsou odstraňovány denně.
Po odstavení jsou králíci chováni v čistých a suchých místnostech v klecích se síťovanou podlahou. Od 3. týdne života dostávají všichni králíci antibiotika a vitamin C.
Odpůrci antibiotik se snaží bojovat proti kokcidióze u králíků „osvědčenými lidovými léky“ přidáním jódu a kyseliny mléčné do vody.
Předpokládá se, že roztok "jódu" způsobuje oxidaci bílkovin, které nejsou zpracovávány žaludkem, při krmení zvířat krmivem s vysokým obsahem bílkovin. Ale ve zdravém těle bez hormonálních poruch musí tyto funkce vykonávat štítná žláza a uvolňovat požadované množství jódu. Umělá porucha funkce slinivky břišní u králíka je omluvena pouze skutečností, že život zvířete je obvykle 4 měsíce.
Kyselina mléčná je dobrý lék, ale nezabíjí eimeria. Jednoduše zastaví fermentaci ve střevech.
Léčba a prevence kokcidiózy králíků
Je maso nemocných králíků jedlé?
Eimeria parazitující na králících není pro člověka nakažlivá. Alespoň zatím zmutovaný. Maso poražených králíků lze jíst, ale pokud byli králíci ošetřeni nebo jim bylo zabráněno v kokcidióze, musíte zkontrolovat pokyny týkající se drogy. Maso můžete jíst až po vyjmutí léku z těla zvířete. U každého léku jsou tyto termíny odlišné a jsou uvedeny v anotacích.
Závěr
Hlavním opatřením k prevenci vzniku kokcidiózy u králíků je přísná hygiena. Pokud byly příznaky rozpoznány včas a léčba kokcidiózy byla zahájena okamžitě, existuje šance na záchranu významného počtu hospodářských zvířat.







